📅 Book Appointment

×

Schedule your consultation

Blogs

Evaluation of an Ovarian Cystic Mass: A Clinical Guide for Accurate Diagnosis

Evaluation of an Ovarian Cystic Mass: A Clinical Guide for Accurate Diagnosis

Ovarian cystic masses are commonly encountered in gynecologic practice and imaging studies. While most ovarian cysts are benign and self-limiting, some may represent significant pathology, including malignancy. A structured, evidence-based evaluation is essential to distinguish benign conditions from those requiring urgent intervention.

This article outlines a practical, step-by-step approach to the evaluation of an ovarian cystic mass, integrating clinical assessment, imaging findings, risk stratification, and management principles.

What Is an Ovarian Cystic Mass?

An ovarian cystic mass refers to a fluid-filled or partially fluid-filled lesion arising from the ovary. These masses may be:

  • Physiologic (e.g., follicular or corpus luteum cysts)
  • Benign neoplastic (e.g., serous cystadenoma, dermoid cyst)
  • Pathologic or malignant

Correct evaluation depends heavily on patient age, menopausal status, and imaging characteristics.

Step 1: Clinical Assessment

Key History Elements

  • Age and menopausal status (premenopausal vs postmenopausal)
  • Pelvic pain, bloating, abdominal distension
  • Acute symptoms suggesting torsion or rupture
  • Menstrual irregularities or abnormal uterine bleeding
  • Pregnancy status
  • Personal or family history of ovarian or breast cancer
  • Use of hormonal therapy or fertility treatment

Physical Examination

  • Adnexal mass size and mobility
  • Tenderness
  • Presence of ascites
  • Nodularity or fixation (concerning for malignancy)

Step 2: Imaging Evaluation (First-Line Investigation)

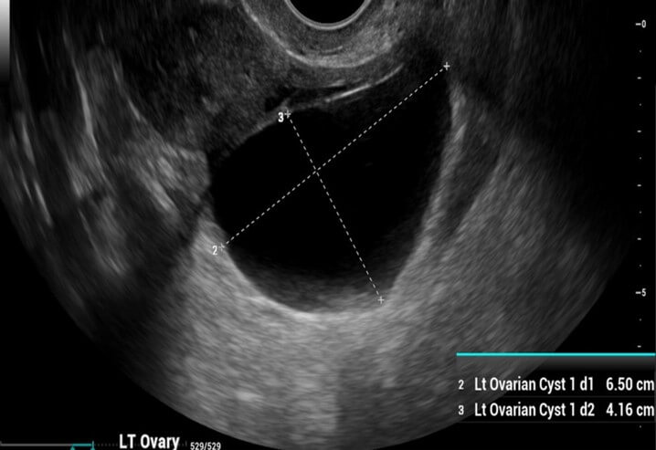
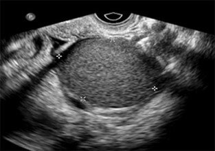
Transvaginal Ultrasound (TVUS)

Transvaginal ultrasound is the gold standard initial imaging modality for evaluating ovarian cystic masses.

Benign Ultrasound Features

  • Unilocular cyst
  • Thin, smooth walls
  • Anechoic (clear fluid)
  • No solid components
  • No internal blood flow on Doppler

Suspicious or Malignant Features

  • Solid areas or papillary projections
  • Thick septations (3 mm)
  • Irregular cyst walls
  • Internal vascularity
  • Ascites
  • Bilateral ovarian masses

Common Ultrasound Patterns

  • Hemorrhagic cyst: Reticular or lace-like internal echoes
  • Endometrioma: Homogeneous "ground-glass" appearance
  • Dermoid cyst (mature teratoma): Echogenic areas with acoustic shadowing

Step 3: Risk Stratification Systems

To standardize evaluation and reduce unnecessary surgery, several validated tools are used:

  • IOTA Simple Rules
  • O-RADS (Ovarian-Adnexal Reporting and Data System)
  • Risk of Malignancy Index (RMI)
  • Combines ultrasound score, menopausal status, and CA-125 level

These tools help determine the need for observation, further imaging, or surgical referral.

Step 4: Tumor Markers (Adjunctive Role)

Tumor markers should be used selectively and interpreted cautiously.

Commonly Used Markers

  • CA-125
  • Most useful in postmenopausal women
  • Can be elevated in benign conditions such as endometriosis, fibroids, or pelvic inflammatory disease

In Younger Patients (if malignancy suspected)

  • Alpha-fetoprotein (AFP)
  • Beta-hCG
  • Lactate dehydrogenase (LDH)
  • Inhibin (for suspected sex-cord stromal tumors)

Step 5: Special Clinical Scenarios

Ovarian Cysts in Pregnancy

  • Most are functional and resolve spontaneously
  • Surgical intervention is reserved for:
    • Persistent cysts > 5-6 cm
    • Suspicious imaging features
    • Complications (torsion, rupture)

Acute Pelvic Pain

  • Consider
    • Ovarian torsion
    • Cyst rupture
    • Hemorrhage
  • These conditions may require emergency surgical management.

Step 6: Management Principles

Clinical Scenario Recommended Management
Simple cyst <5 cm (premenopausal) Observation
Simple cyst 5–7 cm Repeat ultrasound
Simple cyst >7 cm MRI or surgical evaluation
Complex or suspicious cyst Referral to gynecologic oncology
Postmenopausal cyst with solid features Surgical evaluation

Red Flags Requiring Urgent Referral

  • Postmenopausal status
  • Ascites
  • Elevated CA-125
  • Solid components on imaging
  • Rapid growth
  • Fixed or nodular mass

Conclusion

The evaluation of an ovarian cystic mass requires a systematic approach that integrates clinical context, high-quality ultrasound imaging, and risk stratification tools. Most ovarian cysts are benign, but early identification of suspicious features is critical for optimal outcomes.
Timely referral and appropriate follow-up can prevent unnecessary interventions while ensuring early detection of malignancy when present.